Search
שינויים מבניים מוחיים הקשורים ל-PTSD כרוני במגיבים של מרכז הסחר העולמי

שינויים מבניים מוחיים הקשורים ל-PTSD כרוני במגיבים של מרכז הסחר העולמי

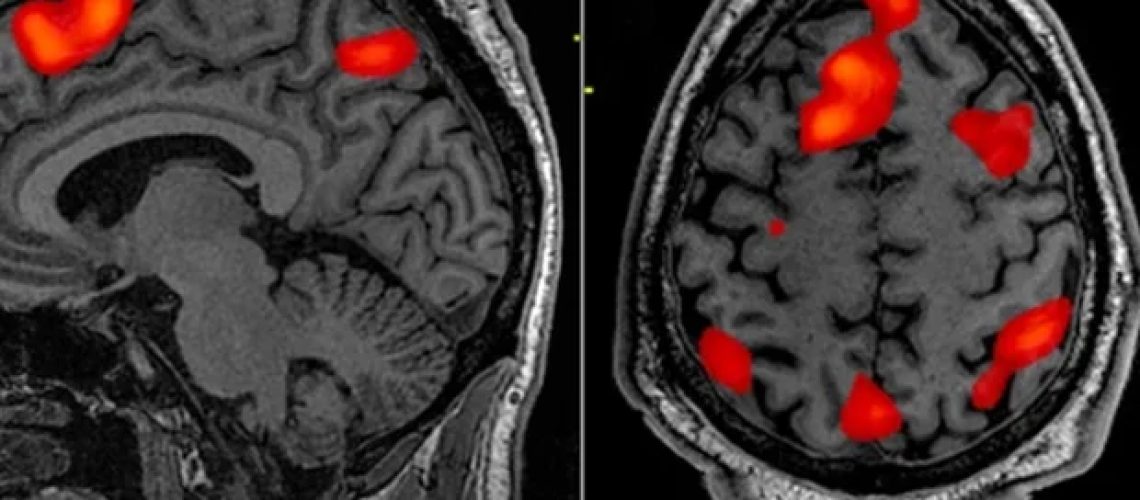
מחקר חדש בקרב מגיבים של מרכז הסחר העולמי (WTC) עם הפרעת דחק כרונית פוסט-טראומטית (PTSD) חשף שינויים פיזיים הניתנים למדידה במבנה המוח שלהם, התואמים את השינויים באיזון של נוירונים ממיאלין ללא מיאלין (תאי עצב המוליכים מהירים ואיטיים) על פני שתי ההמיספרות של המוח. שינויים אלו היו קשורים באופן החזק ביותר עם חוויה חוזרת של סימפטומים אצל אנשים עם PTSD. ההבדלים בקליפת המוח שנמצאו במחקר הדמיה מתוחכם זה ב פסיכיאטריה ביולוגית: מדעי המוח הקוגניטיביים והדמיהשפורסם על ידי Elsevier, עשוי לשמש כסמנים ביולוגיים תחליף לבריאות המוח הנפגעת אצל אנשים הסובלים מ-PTSD כרוני, כמו גם פוטנציאל להודיע ​​על אסטרטגיות סקר מוקדם.

בעקבות קריסת ה-WTC, אנשים רבים חוו טראומה קשה, ו-23% מהמגיבים ב-WTC פיתחו PTSD. זה נחווה, בחלקו, כזיכרונות פולשניים בלתי נשלטים של אירועים טראומטיים הקשורים לאירועים מעוררים, יחד עם תגובתיות מוגברת ללחץ ומודעות יתר לסביבה.

העורך הראשי של פסיכיאטריה ביולוגית: מדעי המוח הקוגניטיביים והדמיה קמרון ס. קרטר, MD, אוניברסיטת קליפורניה בית הספר לרפואה של אירווין, מעיר, "בעוד שמחקרים קודמים מספקים רמזים לגבי תפקידם של שינויים נוירולוגיים ב-PTSD, עד כה, החשיבות של המיקרו-מבנה של קליפת המוח ותפקיד המיאלין הקורטיקלי לא הובנה היטב".

מחקר זה השתמש בהדמיה עצבית של ניגוד אפור-לבן (GWC), טכניקה מבוססת MRI שנועדה לשפר מחקרים על בריאות עצבית עבור אנשים שעברו טראומה. GWC פועל כפרוקסי לצפיפות מיאלינציה תוך קורטיקלית, בוחן את הטשטוש הנראה בממשק החומר הלבן והחומר האפור בהתבסס על הבדלים בעוצמת האות. עלייה בניגוד מייצגת גבול חד יותר, המעיד על מעבר בריא מחומר אפור לחומר לבן מוחי. גבול פחות מובהק (GWC נמוך) מצביע על ריכוז לא תקין של מיאלין (שכבת בידוד שומנית), המצביע על הפרעה במהירות העיבוד והעקביות של המוח.

הצלחנו לקבוע את כיוון ומיקום השינוי על ידי שינוי העומקים שבהם נדגמו האותות. ישנם דברים מעטים שיכולים לשנות את אות החומר האפור, ולכן אנו מאמינים שממצא זה עשוי לשקף שינויים בריכוז של נוירונים בעלי מיאלין בחומר האפור. לאחר מכן השווינו את GWC למדדים אחרים של בריאות קליפת המוח שהיו קשורים בעבר ל-PTSD הקשור ל-WTC."

שון AP Clouston, PhD, חוקר ראשי, פרופסור בתכנית לבריאות הציבור, והמחלקה למשפחה, אוכלוסיה ורפואה מונעת, בית הספר לרפואה של הרנסנס (RSOM), אוניברסיטת סטוני ברוק

בהערכת תמונות מוח מבניות עבור 99 מגיבים ל-WTC, חוקרים מצאו עדויות לשינויים נרחבים ב-GWC בחומר האפור בקליפת המוח על פני שתי ההמיספרות של המוח באנשים עם PTSD. הפחתות ב-GWC עשויות לרמוז שיש יותר תכולת מיאלין באזורים אלה מהרגיל במגיבים החשופים לטראומה ללא PTSD. הם גם מצאו שניתן לשלב את GWC עם סמנים אחרים לבריאות תוך קורטיקלית כדי לשפר את היכולת לעזור לזהות באופן אובייקטיבי מגיבים ל-WTC עם PTSD.

אין כיום שיטות אובייקטיביות לאמת אם אדם המדווח על תסמיני PTSD עשוי לסבול מההפרעה, וגם לא האם מדובר במצב אחד מבין מספר מצבים אפשריים. התסמינים יכולים גם להשתנות בין אנשים. מדידת ניגודיות GWC יכולה לסייע בשיפור האבחון, במיוחד בשילוב עם שיטות אבחון אחרות.

"בדיקות ביולוגיות ל-PTSD חמקו מחוקרים במשך שנים רבות, אבל המחקר שלנו ממחיש ששיטות אנליטיות מודרניות עשויות להתחיל לחשוף חתימות מוחיות של הפרעה זו", מציין החוקר השותף רומן קוטוב, PhD, פרופסור במחלקה לפסיכיאטריה ובריאות התנהגותית ב-RSOM.

החוקרים הופתעו לגלות חוסר תפקוד נרחב ברוב חלקי המוח. לתוצאות אלו יש גם השלכות חשובות על בריאות המוח אצל אנשים עם PTSD כרוני, מכיוון שאינטרנוירונים מקלים על חשיבה מתואמת על פני תסמינים. אנשים עם שינויים עצביים חווים לעיתים קרובות שינויים בתפקוד הגופני שעלולים להוביל לבעיות תנועה ולנכות.

חוקר שותף בנג'מין לופט, MD, מנהל תוכנית הבריאות והבריאות העולמית של מרכז הסחר העולמי בסטוני ברוק לרפואה ופרופסור במחלקה לרפואה ב-RSOM, מסכם, "המחקר שלנו, המרחיב רמזים ממחקרים אחרים, מראה ש-PTSD קשור לשינויים פיזיים מדידים במבנה המוח, ומציע ראיות ביולוגיות לכך שטראומה מעצבת מחדש את הממצאים העצביים בגישה לאבחנה עצבית חדשה.

דילוג לתוכן